You’re in the right place because Dr. Dapaah believes that everyone has the ability to smile — even you. A smile is a universal language that transcends words, yet every smile is unique and holds its own meaning.
Behind every smile lies a story.
Whether through subtle refinements or complete transformations, Dr. Dapaah’s approach is to carefully design and create smiles that look natural, feel authentic, and empower individuals with confidence. From the smile design process to treatment delivery, Dr. Dapaah believes that every stage should be carried out with precision and care, ensuring that the result is a smile that feels truly your own.
I hope you enjoy your time here !
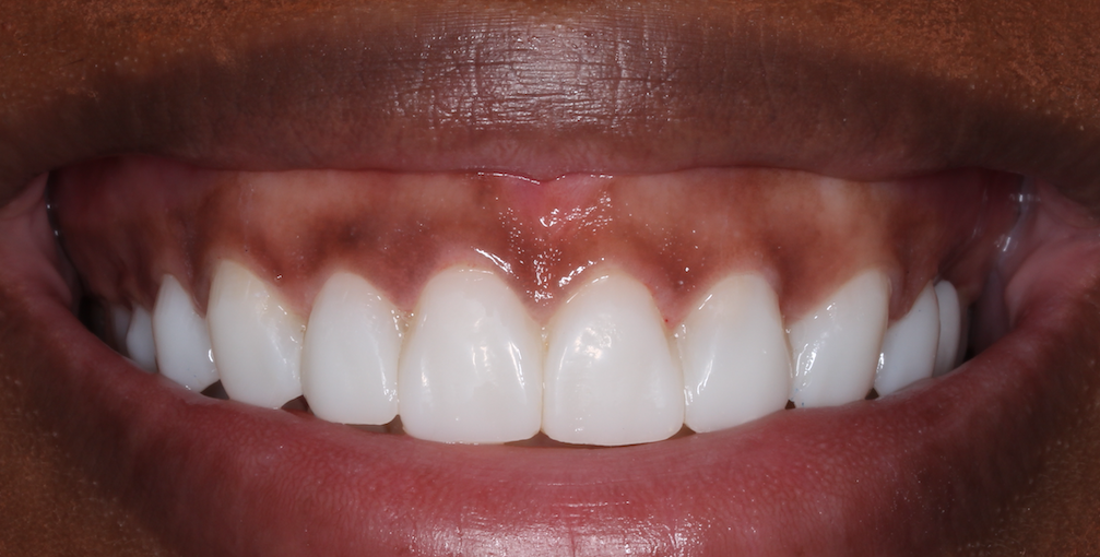
TREATMENTS OFFERED
I am proud to offer a wide range of advanced dental and cosmetic treatments to enhance both the health and aesthetics of your smile. Please explore the following options:
Porcelain Veneers
Composite Bonding
Dental Implants
Smile Make Overs
Gummy Smile Management
Clear Aligner Therapy
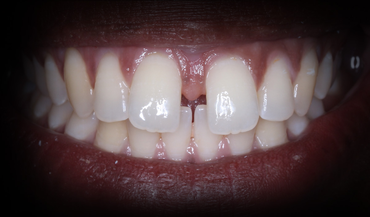
Satisfied patients
Every smile tells a story. From athletes to everyday individuals, Dr. Dapaah’s patients trust him not only for his clinical skill, but for the care, comfort, and confidence he brings to every appointment. Their experiences reflect the heart of his practice — personalised attention, expert hands, and results that genuinely make a difference.











4.9
Opinions made by our patients
Make an appointment today
Giving Back with a Smile
Dr. Kevin is deeply committed to making a meaningful difference through his dental expertise. Beyond his clinical practice, he actively contributes to underserved communities by offering free dental services in countries where access to oral healthcare is limited or affected by economic hardship. Driven by compassion and purpose, he partners with both local and international organisations to deliver essential dental care, restore smiles, and promote overall well-being—one smile at a time.